立即注册找回密码

QQ登录

只需一步,快速开始

微信登录

微信扫一扫,快速登录

搜索

图文播报

查看: 6339|回复: 5

[分享] 癌细胞长得都一样吗?

[复制链接]
发表于 2025-5-10 14:42 | 显示全部楼层 |阅读模式 <

登陆有奖并可浏览互动!

您需要 登录 才可以下载或查看,没有账号?立即注册 微信登录

×
癌细胞全都是球状吗?
长在身体各处的癌细胞全都具有相似的形态吗?
原文地址:https://www.zhihu.com/question/50927209
回复

使用道具 举报

发表于 2025-5-10 14:43 | 显示全部楼层
每个患者的癌细胞都不一样,所以绝大多数抗癌药,尤其是新一代的靶向药物,都只对很小一部分患者有效。
癌症起源于多细胞生物体的细胞,但它们的行为与单细胞生物非常相似。
单细胞生物与多细胞生物的区别在于以下四个主要特征:
1.生长;
2.永生;
3.四处移动;
4.运用糖酵解(也称瓦氏效应)。
这张清单是不是看起来很眼熟?这与构成癌症四大特征的属性列表完全相同!这当然不是巧合。癌症的特征正是单细胞生物的特征。



图来自《癌症密码》

每个向多细胞进化的单细胞生物都选择了各自的路径。它以其独特的方式变得“幸福”,或者更确切地说,更适应进化。单细胞生物则保持着类似但不同的单细胞状态。



图来自《癌症密码》

举个例子,独居的生存者可能会对周围的环境漫不经心,把垃圾倒进河里冲走,让它成为别人的麻烦。然而,一个城市却需要对当地的环境进行严格管理:垃圾必须存放在指定地点,你也不能开车轧过邻居精心修剪的草坪。
单细胞生物对周围环境不承担任何责任。酵母菌会尽其所能地杀死其邻近的细菌,因为它们在争夺食物和其他资源。亚历山大·弗莱明观察到青霉菌能分泌出一种杀死周围所有细菌的物质,这促成了世界上第一种现代抗生素——青霉素的问世。
癌细胞和单细胞生物一样,具有局部破坏性。癌细胞的生长会以损害其邻居的利益为代价,不断破坏周围的组织。对邻居越恶劣,对它们自己可能就越有好处。癌细胞就是那个故意开着皮卡车越过邻居家草坪的家伙。这样的竞争既可以利己,也可以损人。这种一箭双雕的策略就是丛林法则。
与社会一样,多细胞生物中的细胞必须是和睦相处的邻居。多细胞生物必须维护细胞外环境(或称细胞外基质),以免伤害到它们的邻居。例如,正常的肝细胞不能简单地将它们的废物倾倒在隔壁肺脏的后院。正常的乳腺细胞不能损害邻近的皮肤细胞。
《癌症密码》 杰森.冯



谢谢观看 请点个关注吧 给您磕头了
回复 支持 反对

使用道具 举报

发表于 2025-5-10 14:43 | 显示全部楼层
                                            惊艳背后的罪恶
大千世界,无奇不有,微观世界里,更是变幻莫测,精彩绝伦。
人体是个有机的整体,肉眼看到的身体是由千千万万个不同形态的细胞组成的,这些细胞通常以相同的族群排布在一起,与其它细胞族群相互结合,互通有无,相互通信,相互协调配合,各司其职,共同构成了人身体的各个部件,有皮肤、大脑、神经、胳膊、心脏、脾胃,等等。
每个细胞都是一个鲜活的小生命,也有“五脏六腑”(细胞器,细胞的亚单位),是带动细胞功能必要组件,图1显示了一个浆细胞在电镜下放大15000倍的真实形态,内有细胞核、内质网、高尔基体,等。图1-B则显示了普通光学显微镜下放大400倍的浆细胞整体形态(绿色箭头所指)。



图1. 浆细胞  A:电镜下的浆细胞,可见车轮状的细胞核(N);大量粗面内质网(ER),合成用于攻击体内有害微生物的各种抗体;另见类似烧饼状的线粒体(M),是细胞呼吸的细胞器;以及米粒状的高尔基体(G),是抗体在细胞内合成后被派往细胞外执行任务前的最后一道工序---组装车间。B:光镜下的浆细胞。

细胞核是控制细胞整个细胞活动的中枢,也控制细胞的寿命。细胞的寿命长短不一,长的可与人体寿命平齐,短的则只能存活数小时。细胞也需要繁衍子孙,让其活动不被终止。一个祖细胞大约分裂30-70代,生命也就延续到了尽头。当身体的大部分干细胞或是祖细胞生命到达未期时,人体的寿命也就到了垂幕老年。
在细胞进行日常活动和繁殖过程中,难免不会受到周围大环境的影响而产生迷乱,比如暂时的呆滞或休眠,也可能是一时兴起,活动过于狂热。这些暂时的细胞行为异常就会在人体发热、燥狂、冲动、疾病等表现出来,若及时进行干预(打针、吃药),细胞的行为会得到纠正,上面的症状会很快消退。
如果某个部位的某类细胞发生不可逆转的异常,比如表皮细胞出现了不受控制的分裂活动,让这一类细胞在这一部位无限繁殖(肿瘤变异),根据细胞不受控制的程度,会出现不同类型的鳞癌表现。高分化的鳞癌,分裂的速度较慢,分裂后的细胞尚保留以前表皮细胞的部分形态和功能,这对皮肤造成的损害会小一些(图2,题头插图)。



图 2鲍温样鳞癌 一种中等恶度的皮肤肿瘤,源于角质形成细胞。其兄弟有鲍温样丘疹、角化棘皮瘤,低恶 ,可能由人乳头瘤病毒侵害人体所致;其高恶性兄弟叫侵袭性鳞癌。A:鲍温样鳞癌皮损。B:低倍光镜下的癌组织外观。C:高倍光镜下鳞癌细胞,大小不一,奇形怪状,排列无序,可见合胞体和正在裂变的癌细胞

低分化的鳞癌的恶性程度则很高,细胞分裂复制的速度很快,分裂后的细胞很难见到以前表皮细胞的影子,也不具有表皮细胞的功能,这些异常细胞对周围正常细胞具有侵蚀性,不仅大量侵吞分配给其他正常细胞的营养供给,而且大肆扩张,破坏人体正常结构,影响身体功能,甚至夺走人的生命。(图2,题头插图)
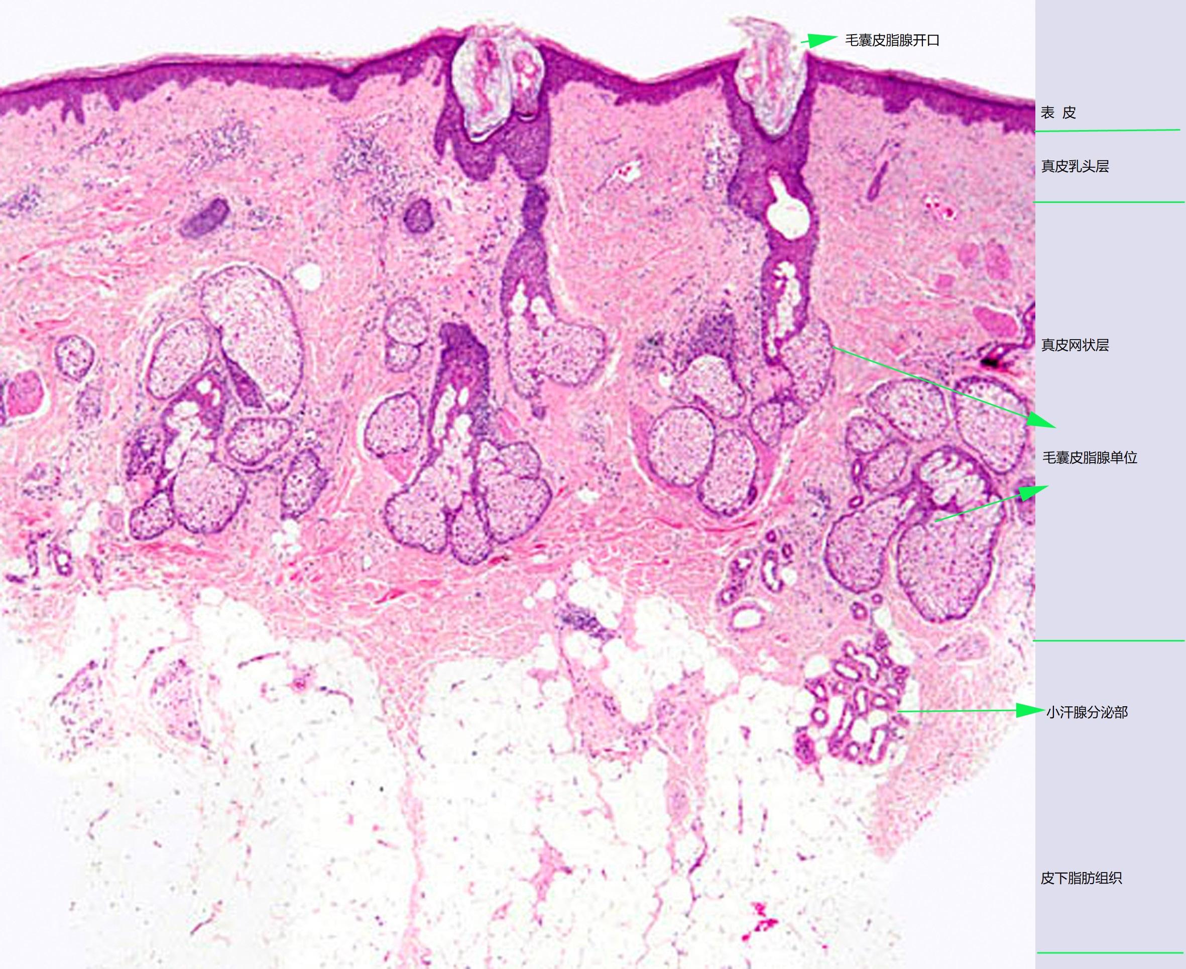
在充分认识这些肿瘤细胞的惊艳与奇葩之前,给看戏群众看一看人体正常的皮肤组织显微图,或许对肿瘤的无序、惊艳、罪恶更有比较和了解。图3显示了正常人体的皮肤结构,整个皮肤结构排列有序,各类细胞相互协调,中规中矩。共分表皮、真皮、皮下脂肪三个层次,各司其职,表皮位于最表面,紧密排列,对整个皮肤有保护作用。皮脂腺细胞组成一个一个的皮脂腺,围绕在毛囊周围,其分泌物通过毛孔排到皮肤表面,形成一层油脂膜,对皮肤起保护作用和滋润作用。位于皮肤最下层的脂肪细胞则是整个皮肤的大后方,不仅能缓解各种外界的机械刺激,也是维持皮肤不发生重大变故的重要支持。



图 3 正常皮肤结构图(20倍放大) 分为表皮、真皮、皮下脂肪三层,三层紧密结合,连接有序,细胞排列规律,皮脂腺细胞组合成一个一个的分泌腺体,围绕在毛囊周围,其分泌物通过毛孔排出皮肤表面,形成一层表护性油脂膜,并对表皮有滋润作用。

下面是几例发生于皮肤的较常见的肿瘤,每幅画面都十分美妙,十分养眼,有的堪称美轮美奂,但赏美的背后造成不要掉以轻心,它会给人带来无究的烦恼,甚至夺去人的生命。



图 4 基底细胞癌 中度恶性 A:发生于胸前剑突处的皮损;B:低倍光镜下的基底细胞癌的形态;C:200倍放大的基癌。



图 5 基底细胞癌 中度恶性  A:发生于鼻部的基癌,也是基癌好发部位,不及时切除会引起鼻子毁形或被癌细胞彻底吃掉;B/C:光学显微镜下,低倍和高倍的癌组织和癌细胞,高倍放大下的癌细胞形成细胞漩涡,中间有个象“太阳”的小灶性坏死。



图 6 汗管瘤 低度恶性,此例有大步向更恶性迈进的势头。A:汗管瘤肉眼所见皮损;B:低倍镜下汗管瘤组织,类似很多的“网球拍”或“小蝌蚪”样的东西。B:200倍放大的汗管瘤。



图 7黄色肉芽肿 从低度恶性到高度恶性不等。三张图片展示的各式形态的黄瘤细胞,有的呈马蹄状,有的象有蕊的红花,有的圆圆胖胖的,学人称之为泡沫细胞。长在皮肤的黄色肉芽肿影响美观,长在肾脏的黄色肉芽肿可致肾衰,长在其它脏器的黄色肉芽肿根据部位不同会对人造成不同的伤害。



图 8 肉样瘤  高度恶性,显微镜下也奇彩纷呈,有的细胞很小,有的细胞很大,很一个很大的“比目鱼”,不过,比目鱼的眼睛没有这么多。



图 9 恶性黑素瘤 高度恶性,很容易转移,具有嗜神经性,可一路转移一路破坏。显微镜下的黑素瘤细胞呈瓷白或苍白的、胖胖的瓜子样,也有的象印戒。



图 10 皮肤T细胞淋巴瘤 高度恶性,随着血液流动向全身侵犯。高倍镜下的瘤细胞比人工的地板图案还要美上几分。

下面一组是比较良性的增生,很多人都会发生,除了影响美观外,对人体健康影响不大。



图 11 色素痣  一种良性增生,增生的细胞在某种程度上还保留黑素细胞的形态和功能(可分泌黑素颗粒),但又不完全等同于正常的黑素细胞,所以我们称这就些细胞为痣细胞。色素痣生长很慢,对周围皮肤基本不造成伤害,但也说不定某个色素痣发生变异,快速生长并转移,我们称之为这颗痣转成了恶黑。



图 12瘢痕疙瘩  低度恶性,但是很影响美观,很烦人,手术切除后会以更快的速度长出。瘢痕疙瘩的大哥是纤维样肉瘤、隆突性纤维肉瘤、肉样瘤,它们比瘢痕疙瘩恶了很多。



图 13 血管球瘤 低度恶性,容易发生于肢端,不小心破溃后会流血,可长期稳定,但时有自发性疼痛,有点烦人。

声明:
文中图片来自以下参考文献中,但未经作者同意,擅自将作者图片通过photoshop拼组、加注并标示箭头,若违权,可删。
参考文献

  • A. Bernard. Ackerman. Histologic Diagnosis of Inflammatory Skin Diseases: An Algorithmic Method Based on Pattern Analysis. Ardor Scribendi. January 30, 2005
  • A. Bernard. Ackerman.  A Clinical Atlas of 101 Common Sking Diseases with Histopathologic Correlation
回复 支持 反对

使用道具 举报

发表于 2025-5-10 14:44 | 显示全部楼层
不是
不过癌细胞的形态确实存在一定的共性,因为有一定的共性,所以能找出一些规律;但有时候这种共性会给医生带来很大困扰。
比如会出现这两种情况:①同一种癌症,癌细胞的形态却有很大区别;②并不是同一种癌症,但癌细胞的形态十分相似,难以区分。

举个例子,急性白血病的分型
1976年法国(Franch)、美国(American)和英国(Britain)等三国血细胞形态学专家讨论、制订了关于急性白血病的分型诊断标准,简称&amp;#34;FAB&amp;#34;分型,如下图。


据此标准,可将急性髓细胞白血病AML分成M0-M7共八个亚型,而急性淋巴细胞白血病ALL则可依此标准分成L1-L3三型。
然而形态学有其局限性,根本原因就是肿瘤细胞的异型性很大,有些亚型已被公认无法凭借形态学识别,比如M0和M7。以AML-M0为例,它和ALL是很难区分的。
在早期,AML的FAB分型似乎只有1-6,0和7是后来加进去的。也许很多人看不懂上图说了什么,但有一点能明显的看出——1-6只涉及形态学;而0和7除了形态学,涉及了免疫标记。
FAB协作组是根据形态学对急性白血病进行分型,这个分型现在还有使用,但上面已经说了,它有局限性
因为癌细胞的异型性,所以形态学有其局限性。可以说,正是形态学的局限性,使得WHO在FAB的基础上发展出了MICM分型,除了形态学,还包括免疫学、细胞遗传学和分子生物学,它对AML的分型是这样的(其实今年刚出了新版分型,不过暂时没有资料...)


可以看到,有一些亚型有自己特殊的遗传学标志,对待这些亚型,WHO分型更看重遗传学标志而非形态学。
再举个例子,APL(急性早幼粒细胞白血病)按照形态学可能有三到四种类型,尤其M3v和经典M3a,两者的肿瘤性早幼粒细胞看起来就很不一样。然而,这些APL都具有PML-RARA融合基因,在生物学本质上说是同一疾病。然而,有些APL的细胞形态和AMoL(急性单核细胞白血病)极为相似,就算是有经验的形态学专家也可能会判断错误。
回复 支持 反对

使用道具 举报

发表于 2025-5-10 14:45 | 显示全部楼层
谢邀。作为一个从业十几年的病理医师,自认为回答这个问题是合适的。因为我们天天见到各种各样的癌细胞,而我们一个主要工作就是根据细胞和组织的形态,诊断病人是否患癌,以及是什么类型的癌。以下为回答:
—————————————————————————————————————————————————————————————————————————————————————所有癌细胞都起源自正常细胞,而人体的细胞种类繁多,形态也千变万化。举个栗子,据说波音系列的客机由几十万个零件组成,是目前最复杂的人造系统之一(肯定没有人体复杂),构成客机的各个零部件其作用不同,因此也会有不同的样子(形态),这是显而易见的。通过这个例子就很容易理解人体不同细胞的形态复杂性。人作为万物之灵,体内所含的成千上万种细胞构成了一个更为复杂、精密的系统。这些不同的细胞虽然都来自同一个受精卵,但发育过程赋予了细胞不同的形态和功能,因此得以构成不同的组织和器官,这个过程称为分化。细胞处于不同的微环境中,行使不同的功能,而细形态和功能互相影响,两者具有千丝万缕的联系。例如,神经细胞需要跨越一定的空间距离传递冲动,因此它们一般含有细长的突起,较长的甚至可达一米以上;而淋巴细胞处于血液这种特殊的流体之中,细胞表面每个点受到的液体压力是均一的,所以它们具有球形或或类球形的形态,同时这种形态更有助于在液体中运动(方头方脑的容易磕磕碰碰,跑不快的)。正常的细胞的种类和形态尚且复杂,而癌细胞作为正常细胞的变种,它们形态的复杂程度自然远远超过正常细胞。

癌细胞和它所来源的正常细胞在形态上存在差异,这种差异称为异型性(一直不明白病理教科书非要用这个“型”,而不用那个“形”)。异型性越大,说明癌细胞和它来源的正常细胞的差异越大,恶性程度越高;反之,越接近正常细胞(高分化),恶性程度越低。同时,癌细胞还残留了一些正常细胞的形态特征,形态上和所起源的正常细胞有一些共性,共性越多肿瘤细胞越善良。病理医生在判断肿瘤是良性还是恶性时,异型性是重点考虑的因素之一,而在判断这个肿瘤的细胞起源时,则依靠瘤细胞残留的共性特征。

对某一类正常细胞而言,它们的形态相对恒定,与其他细胞的相处也是和谐的。当它们恶变后,由于癌细胞的异型性程度不等,形态也就自然不同,所以即使起源细胞相同,癌细胞形态也不尽相同。正如托翁的名言:幸福(正常)的家庭(细胞)是相似的,而不幸(癌变)的家庭(细胞)各有各的不同。比如,胃粘膜腺上皮细胞癌变后都形成腺癌,但形态各异,可以是乳头状腺癌(高分化),也可以是管状腺癌(分化程度不等),还可以是印戒细胞癌(低分化)。所以,各种癌细胞形态不同,不仅是由于它们所起源的正常细胞形态不同,更是因为即使癌细胞起源相同,形态也可能有很大差异。


正常的胃粘膜的部分腺上皮细胞(其实也可以细分成好几类)。有没有感受到一种平静的和谐之美?



胃粘膜腺上皮细胞癌变,形成不同形态的腺癌。同上图正常胃腺上皮的形态相比,差别很大。  癌细胞有的形成乳头(乳头状腺癌,红箭头示乳头),有的保留腺腔(管状腺癌,黄箭头)。而印戒细胞癌不仅有细胞的异型性,形态像戒指(绿箭头),更奇葩的是,印戒细胞是分散的,它们不像乳头状腺癌和管状腺癌那样仍保留一定的组织结构,这些散兵游勇更容易播散。看到这些形态,肯定能体会到印戒细胞癌满满的恶意。

每当我在显微镜下看到一些特别丑陋、狰狞的癌细胞时,都会想起一部电影:异形。


按照电影的说法,异形是外来物种,这和癌细胞不同(癌细胞由正常细胞叛变而来),但它与癌细胞的共性是:都是畸形的生命形态。丑陋、残暴,令人生畏。

—————————————————————————————————————————————————————————————————————————————————————
以上内容是对题主问题的回答。最后,夹带点私货,科普下肿瘤病理诊断这个工作。
我们知道,恶性肿瘤的主要治疗手段(手术、化疗、放疗)都是有创的,必须经过病理检查确诊为恶性后才能实施上述治疗。病理诊断决定了肿瘤治疗的基本方向,也是评估患者结局的主要依据。目前,在肿瘤完整送检或者代表性的部分被送检的条件下,病理诊断的准确率几乎能达到百分之百,这时如果病理诊断与临床诊断、影像学诊断相矛盾的话,必须以病理诊断为准。这一方面说明肿瘤的病理诊断极其重要,另一方面,病理医师作为肿瘤诊断的最后一关,责任重大,鸭梨山大。如果良性肿瘤误为恶性,会导致过度治疗,比如将乳腺良性病变误诊为乳腺癌,会导致乳腺被切除的后果;而如果将恶性肿瘤误为良性,则将贻误治疗,病人复发后就会找上门。



《白色巨塔》   病理学教授大河内

目前,病理医生的日常工作主要依靠传统的形态学(分子病理学很重要,但还不能取代形态病理学),通过观察组织和细胞的形态来诊断疾病。形态学观察没有客观的定量指标,主观性很强,非常依赖经验和感觉,这就和古董字画的鉴定差不多。因此,病理医生的工作是富有挑战性的,他们总会碰到棘手的疑难病例。举两个栗子:

例一:某病理专家,专攻淋巴瘤的病理诊断,造诣深厚,倍受大家的尊敬。一次学术讲座中,他自己也坦白:就算他以前阅瘤无数,诊断过海量的淋巴瘤病例,也照样出错,曾经将增生的淋巴组织诊断为淋巴瘤,使病人经受了不必要的化疗。

例二:一个投票式的病理诊断。十几年前我还没入科时,普外科送了个胰腺肿块到我们科(可惜年代久远,已经不知道具体的诊断意见了)。这个肿瘤的确不同凡响,就像水入油锅,大家的争论很激烈,科室内部的诊断意见出现明显分歧:四位病理医生,两人考虑恶性,两人诊断良性。报告显然没法出了,只好另请了本市的2位专家阅片。结果他们对良恶性的判断再次出现分歧,比分变成三比三。大家只好让病人家属拿标本到省城会诊,请某大咖定夺。大咖自然阅片无数,看过的瘤子比小弟们吃过的肉都多。但他也犯了难,踌躇良久,最后挤了个意见:考虑良性可能性大。比分顿时变为四比三。看着这含糊的意见,家属还是不放心啊,果断去了帝都的某总院。要说北京的专家就是牛,没多犹豫,会诊意见就出来了,语气是肯定的,结论是清晰的:胰腺恶性肿瘤。四比四!完了,一切又回到了原点。估计当时拿到报告,家属的内心是崩溃的,本科室的同行是迷茫的,而普外科的经治医生是懵圈的。后来病人没有进一步治疗,随访了较长时间,没复发。算是一个皆大欢喜的结局。

虽然病理诊断比较重要,但这份工作难度有点大,上手也慢,而且不像一线的临床工作那样有显示度,所以不仅病人不了解,甚至连很多医院的管理层也不了解不重视,这样收入自然也不乐观。以上诸多原因导致从事病理工作的人越来越少。一份调查显示,按全国医院的编制床位数,至少需要6万名病理医生才能提供足够的病理服务。但实际上,现有的执业病理医师数量仅为2万,而且还呈萎缩之势,其珍稀程度丝毫不亚于儿科医生。各位看官,当病理医生这种濒危的野生物种出现在您面前的时候,请一定温柔地对待他/她!点个赞吧!
回复 支持 反对

使用道具 举报

发表于 2025-5-10 14:45 | 显示全部楼层


当然是不一样
我原来学病理诊断的,在显微镜下面看了好多肿瘤。
肿瘤根据组织来源和良恶性程度,在大体外貌上和显微镜下有完全不同的长相
病理医生做的工作就是根据这些细胞的不同来判断它是什么类型的肿瘤,为临床进一步的治疗提供依据。
下面我们来看看不同样子的肿瘤吧,多图,流量党注意
同时有些图片可能会对大家造成极强的视觉冲击,引起生理上的不适,所以提醒一些同学注意安全。(不过体贴的女性之友——我,把非常吓人的图片都做成了链接形式,你可以不点击进去看)
因为这个原因,所以我把我客栈的广告放到了前面
————————————————————————————正文分割线
肿瘤,故名思议,肿块,但是有些不是,比如白血病,这种恶性肿瘤就不是肿块形态。
我们从大体上看肿瘤就有区别第一、肿瘤的大小上有区别:从几毫米到几十厘米,从一丁点到几十公斤都有。为了形容方便,医生喜欢说取了一块黄豆大,蚕豆大,米粒大……的标本(全是用吃的描述,描述质地也喜欢用鱼肉样……这类词汇)  比如甲状腺微小癌,需要在显微镜下才能看见。  胃癌里面有一个叫“一点癌”,也是很小一点。  这是一个有故事的癌,  如果有兴趣,我们以后再来讲这个。   大的,比如腹腔内,生长空间大,肿瘤长的也很大。   这是从腹腔中取出的巨型肿瘤http://bbsatt.yineitong.com/forum/day_140305/1403051006c5d6916e6c4a7456.jpg是越南男子腿上长的巨大肿瘤http://www.takefoto.cn/wp-content/uploads/2012/01/9_201201081019411hFcb.jpg谨慎点入
第二.大体的形状上,主要有几种
1.息肉样



结肠的腺瘤
2.乳头状



皮肤的乳头状瘤
3.结节状


纤维瘤外观呈结节状,有包膜
4.叶状


乳腺分叶状肿瘤
5.囊状
6.浸润状,肿瘤和周围的组织没有明显的界限。



7.溃疡状


溃疡状的胃癌,这是胃镜下面看到的
   还有一类是奇形怪状,里面什么都可以有,比如牙齿,头发……这个叫畸胎瘤http://www.365heart.com/upload/newsimg/20141019185158993.png太吓人了
第三,在颜色上也会不同
比如脂肪瘤是黄色,脂肪的颜色嘛


黑色素瘤,就是黑色


血管瘤就是红色



第四、质地上也会不同  脂肪瘤就比较软,脂肪的感觉嘛  一些有钙化的肿瘤就比较硬
我们再从显微镜上看不同肿瘤的造型也是不同的因为有些肿瘤在外形上长的差不多,但是他们的细胞构造完全不同,是完全不同的肿瘤,不同的肿瘤治疗方案可能完全不同。所以要病理医生在显微镜下区别肿瘤性质,指导临床医生下一步治疗。
比如鳞癌,细胞大,分化好的还能形成角化珠



比如腺癌,排列呈腺样



比如平滑肌瘤,细胞呈梭形



比如脂肪瘤的细胞,因为染色会把细胞中的脂肪洗掉,所以形成了空泡



还有霍奇金淋巴瘤中特征性的RS细胞,大眼睛,很萌



胃癌中的印戒细胞,像戒子一样



还有神经系统肿瘤中常见的菊形团



还会用免疫组织化学方法标记肿瘤
比如CEA用来标记腺上皮来源肿瘤细胞,s-100标记神经系统来源





有时候还会用到电镜





所以说肿瘤是长的千奇百怪的,并不是都是一个样子的。有的长得很像,但是就需要医生来进行分辨了。
再放几张比较好玩的显微镜细胞图吧。





为什么会不一样啊因为肿瘤的来源不一样啊,分化的程度不同,所以呈现出了不同的样子和特性。
  本来我可以成为一名病理医生的,哎。
  人生就是那么搞笑。
回复 支持 反对

使用道具 举报

发表回复

您需要登录后才可以回帖 登录 | 立即注册 微信登录

本版积分规则

关闭

官方推荐 上一条 /3 下一条

快速回复 返回列表 客服中心 搜索 洽谈合作
快速回复返回顶部 返回列表